Damon biology – driven approach to modern orthodontics
14. – 15. March 2026. / Hotel Crystal Beograd
About Dr. Claudiu Coca
Dr. Claudiu Coca is a specialist in Orthodontics and Dento-Facial Orthopaedics with over 20 years of experience.
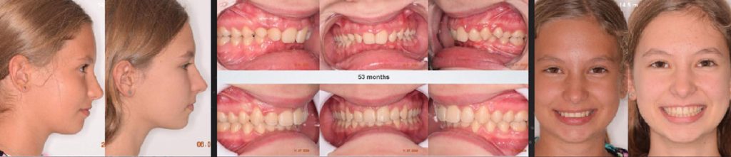
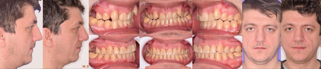
He has treated 400+ Damon System cases — one of which is showcased below.
Since 2016, he has been a strong advocate of the Damon Philosophy, promoting biology-driven,
minimally invasive orthodontics.
With 60+ lectures across Europe, he is known for delivering practical, engaging, case-based
insights that inspire attendees.

ULTIMA SYSTEM – Level I
Damon biology – driven approach to modern orthodontics
The Keys To A Functional Treatment
Discover the ‘’Biology First’’ an innovative, minimally invasive philosophy for fixed-functional orthodontic treatments.
Learn how to reshape bone structures while minimizing the need for extractions, rapid palatal expansion, or surgical interventions, by prioritizing biological
processes and functional mechanics.
Step-by-step explanation of Class I and Class II, aimed at mastering the Ultima System protocol, so that you can start using this system in your daily work from “tomorrow“.


AGENDA
DAY 1 – 14.03.
9:00 – 10:30 – Biology First Orthodontics – Function Leads to Form
Details: A holistics approach of orthodontic treatment in a low force, low friction and muscle controlled environment.
10:30 – 11:00 – Break
11:00 – 12:30 – The Damon Biomechanics
Details: Tackle how friction is a game changer in force expression.
More force faster movement or it is other way around?
12:30 – 14:00 – Launch Break
14:00 – 15:30 – Treatment Protocols – Class I and II , from diagnosis to debonding of brackets
15:30 – 15:45 – Break
15:45 – 17:00 – Bonding The Damon Ultima Bracket – what is different , what is important and why?
DAY 2 – 15.03.
9:00 – 10:30 – The Damon Ultima Wire-Bracket Assembly. Why is Torque Selection Easy with Damon Ultima?
Details: Why are torques important? Why they have to be selected according
to diagnosis and treatment plan? Why is it Precise? Why is it safe?
Why can you improve the tooth position?
10:30 – 11:15 – Break
11:15 – 13:00 – Bite Turbos, Elastics and Coil Springs – when, why, how long,
how strong?
